רנטגן קונבנציונלי
במכוננו מתבצעות בדיקות רנטגן כלליות, הכוללות: צילומי חזה ובטן, צילומים אורטופדיים, ובדיקות שיקוף של מערכות העיכול ודרכי השתן. אנו מצויידים במגוון מערכות רנטגן דיגיטליות חדישות, נייחות וניידות, וכן בשלושה מכשירי שיקוף מהמובילים בשוק.

רנטגן קונבנציונלי

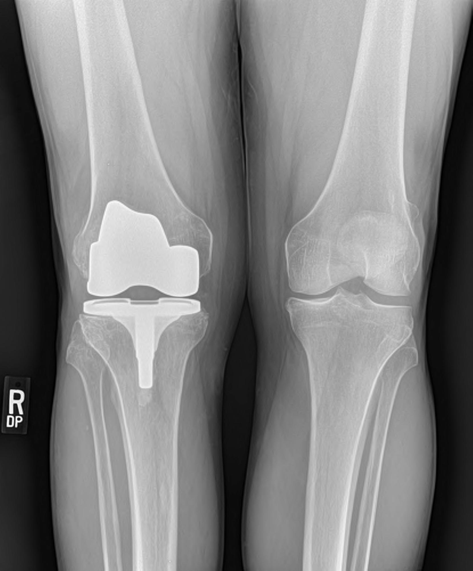
צילום זו בדיקה רפואית המיועדת ליצירת תמונה של איזורי גוף באמצעות מנה קטנה של קרינת רנטגן, ובכך עוזרת לרופאים לאבחן מחלה או פגיעה. צילומים הינם בדיקת הדימות הנפוצה ביותר. בעזרת קרינת הרנטגן ניתן ליצר תמונה סטאטית דו-מימדית של עצמות, הריאות, חלל הבטן ואיזורים אחרים בגוף.
בעזרת צילומי הרנטגן ניתן לאבחן מגוון מצבים רפואיים כגון שברים, דלקת מפרקים, דלקת ריאות, חסימות מעיים, וזיהוי אוויר חופשי ועצמים זרים (כגון מתכות) בגוף.
צילומי הרנטגן פחות טובים להדגמת רקמות רכות בגוף (לדוגמא, איברי הבטן, שרירים), ולכן נדרשות בדיקות נוספות כגון CT, MRI ואולטרא סאונד לאיבחון מצבים רפואיים הקשורים לרקמות רכות.
לשם יצירת צילום אנו משתמשים בקרינת רנטגן: גלי אנרגיה בלתי-נראית המוקרנים דרך גוף הנבדק. מכשיר הרנטגן מכוון את הקרניים לאיזור הגוף הנבדק, בעוצמה המתאימה לסוג הבדיקה שאנו מבצעים. הקרניים עוברות דרך הגוף ונקלטות בגלאי קרינה הנמצא מצידו האחר של הנבדק. בכך נוצרת בגלאי תמונה של אותו איזור גוף נבדק. לדוגמא, אויר כמעט ואינו קולט קרינת רנטגן ולכן איזורים בגוף הכוללים אוויר, כמו הריאות, יופיעו כשחורים בתמונה. לעומתם, העצמות מכילות סידן אשר הינו מינרל הסופג את מרבית קרינת הרנטגן העוברת דרכו, ולכן עצמות יופיעו בצילום כלבנות.
תפקיד הרנטגנאי (מוכר בשפת העם כ-"טכנאי רנטגן") לבצע את הבדיקה עצמה ולכוון את פרמטרי המיכשור בהתאם להנחיות אותן קיבל מהרדיולוג (הרופא המפענח).
כיצד עליי להתכונן לבדיקה?
אין צורך בכל הכנה מוקדמת לפני צילום רנטגן. יתכן ותקבלו חלוק ותתבקשו להסיר פריטי לבוש ותכשיטים המכסים את האיזור אותו רוצים לצלם. תתבקשו לשכב/לעמוד בסמוך לגלאי הרנטגון (תלוי בסוג הבדיקה המבוצעת) ללא תזוזה מספר שניות עד קבלת הצילום.
מה קורה במהלך הבדיקה?
בהתאם לחלק הגוף הנבדק תתבקשו לשכב על שולחן המכשיר בתנוחה מסויימת, או לעמוד בצמוד לגלאי המכשיר. חלקים אחרים בגופכם יכוסו ע"י סינר עופרת כדי למנוע חשיפה מיותרת לקרינה.
תתבקשו לא לזוז במשך מספר שניות, בזמן ביצוע הצילום עצמו. יתכן וידרשו מספר צילומים במנחים/זווית שונות לאיזורי גוף שונים.
האם קיימת סכנה בחשיפה לקרינת רנטגן?
אומנם בדיקה זו מבוססת על קרינה מייננת המוקרנת על גופכם במהלך הבדיקה, אך משך הבדיקה וכמות הקרינה קטנות מאוד ואנו עושים כל שביכולתינו להקטינן לכדי מינימום. כעיקרון, החשיפה לקרינה בכל צילום דומה לחשיפה לקרינה המתקבלת במהלך טיסה טרנס-אטלנטית.
לאחר הצילום
רופא רדיולוג ("רופא רנטגן", בשפת העם) יפענח את הצילום על תחנת פיענוח יעודית, תוך התייחסות פרטנית להיסטוריה הרפואית שלכם ולשאלה הספציפית אותה שאל הרופא שהפנה אתכם לבדיקה. התשובה תועבר לרופא המפנה, ותעזור לו באיבחון ובטיפול של בעייתכם הרפואית.
ניתן לקבל תשובה מודפסת וכן העתק של הבדיקה עצמה על דיסק, בתוספת תשלום.



שיקוף
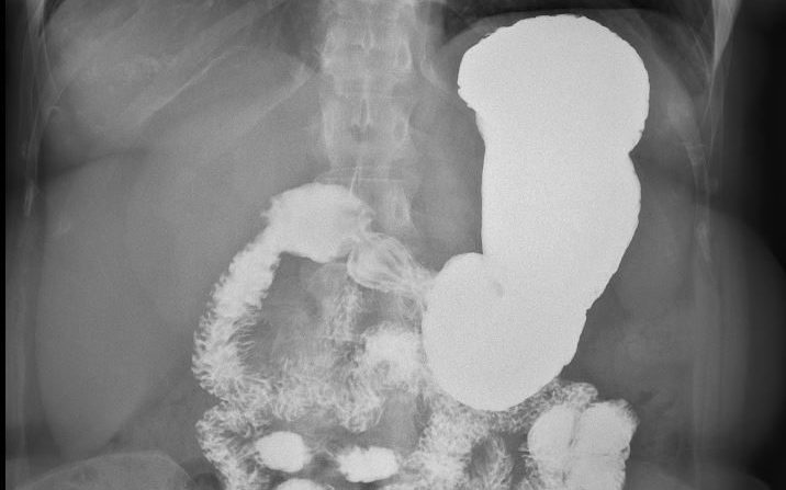
שיקוף הוא לצילום רנטגן, כמו שוידאו הוא לצילום סטילס. בעזרת השיקוף מתקבל סרט דינאמי המאפשר לבחון הן המבנה והן את התפקוד של מערכות גוף כגון דרכי השתן, איברי הרבייה וחלקים ממערכת העיכול.
במהלך הבדיקה, מכשיר רנטגן מיוחד, הנקרא "מכשיר שיקוף" משדר גל קרינה רציף אל עבר איזור הגוף הנבדק ובכך מייצר רצף תמונות, בזמן אמת, המוקרנות על מסך כסרט נע של חלק הגוף הנבדק.
בכדי לקבל את הצמונות הטובות ביותר, יתכן והבדיקה תכלול שימוש בחומר ניגוד (לרוב מסוג יוד או בריום) דרך הפה, דרך חוקן או דרך קטטר למערכת השתן. תפקיד חומר הניגוד לשפר את איכות וניגודיות התמונות המתקבלות.
כיצד עליי להתכונן לבדיקה?
עבור חלק מהבדיקות יתכן ותתבקשו להגיע אליהן בצום קצר (מספר שעות) ממוצקים ונוזלים. תקבלו חלוק ותתבקשו להסיר פריטי לבוש ותכשיטים המכסים את האיזור אותו רוצים לצלם. תתבקשו לשכב/לעמוד בסמוך למיטת השיקוף (תלוי בסוג הבדיקה המבוצעת). אורך הבדיקה לרוב מספר דקות.
שיקוף בליעה (ישמש עוגן עבור לשונית ה-״בדיקות״ בעמודת צד)
בדיקה זו מדגימה את תהליך הבליעה ע"י יצירת סרט של מעבר לגימות חומר ניגוד דרך חלל הפה אל עבר הושט. רצוי שתהיו בצום של 3 שעות לפני הבדיקה. הבדיקה אורכת כ-10 דקות.
שיקוף וק"ת (ושט, קיבה ותריסריון)
במהלך בדיקה זו, הרופא יבחן את הושט, קיבה וחלקים מהמעי הדק שלכם. לבדיקה זו נדרש צום של 12 שעות. תקבלו במהלכה לשתות חומר ניגודי במספר לגימות. הבדיקה אורכת עד 30 דקות.
שיקוף חוקן
בדיקה המיועדת להדגמת המעי הגס, לרוב בעזרת חומר ניגוד המוזרק דרך פי הטבעת ולעיתים גם בעזרת ניפוח אוויר לתוך המעי הגס. אורך הבדיקה לרוב עד 30 דקות. תדרשו בהכנה מיוחדת של ריקון המעיים מצואה ב-48 שעות שטרם הבדיקה. הרופא המפנה שלכם יתן לכם הסבר ורשימת חומרי ריקון אותם תצטרכו לקחת.
מה קורה במהלך הבדיקה?
במהלך הבדיקה תתבקשו לשכב על שולחן הבדיקה. קרינת הרנטגן מיוצרת על שפופרת רנטגן יעודית מתחת לשולחן ונקלטת ע"H גלאי התלוי מעליכם בשולחן. אם תדרש לקיחת חומר ניגודי במהלך הבדיקה, הרנטגנאי יספק לכם אותו ויסביר על אופן הלקיחה.
האם קיימת סכנה בבדיקה?
למרות שמדובר בבדיקה מבוססת קרינת רנטגן, אתם תיחשפו לכמות מזערית של קרינה.
ישנו אחוז מאוד קטן של אנשים העלולים לפתח תגובה קלה לחומר הניגוד. קבוצה קטנה אף יותר הינם אלרגיים לחומר ניגוד ועלולים לפתח תגובה אלרגית נרחבת יותר לחומר הניגוד בדמות גרד, פריחה ובצקות. תגובה זו מאוד נדירה, וכמובן צוות הרופאים והאחיות של המכון בעל ידע וניסיון בטיפול המיטבי במצבים אלה, ומצוייד בכל המיכשור והתרופות הדרושות לשם כך.
לאחר הבדיקה
מיד בסיום הפעולה תוכלו לשוב לסדר יומכם הרגיל. רדיולוג יפענח את הסרט שהתקבל ויעביר פיענוח לרופא המפנה.



